Harga Braces Kerajaan 2018 - Gigi Rongak Perlu Diganti Ganggu Struktur Gusi : Para anggota kerajaan mulai bergunjing dan ada yang mulai berani menentang serta beroposisi dengan mohammed bin salman.

Harga Braces Kerajaan 2018 - Gigi Rongak Perlu Diganti Ganggu Struktur Gusi : Para anggota kerajaan mulai bergunjing dan ada yang mulai berani menentang serta beroposisi dengan mohammed bin salman.. Pesan sekarang sebelum harga naik serta dapatkan segala kemudahan untuk proses pemesanan pada setiap pelanggan setia istimewa foam. Film action kerajaan the viking notherland terbaru sub indonesia. Namun, berdasarkan persidangan para menteri, hukuman mati itu diperingan dengan hukuman potongan kaki. Berapa lama dan kos kalau buat di klinik kerajaan? Smart retailer terbesar yang menjual produk gadget & lifestyle kekinian dengan jaminan produk 100% original, bergaransi resmi & metode pembayaran yang lengkap.

What happens to my family, dikenal juga dengan what's this family, merupakan drama korea 2014 mengisahkan tentang keluarga yang tidak harmonis. Pakai braces sampai gigi jarang prs speaker's corner : Terdapat 2 jenis braces iaitu jenis biasa (metal braces) dan jenis seramik. Sebab, dalam kerajaan inggris merekalah yang kerap dianggap sebagai pemainnya. Kerajaan tarumanegara adalah sebuah kerajaan yang didirikan oleh seorang raja yang bernama raja dirajaguru jayasingawarman pada tahun 358 m.

Gigi Rongak Perlu Diganti Ganggu Struktur Gusi
Gigi Rongak Perlu Diganti Ganggu Struktur Gusi from assets.bharian.com.my
Braces cost, braces harga, braces malaysia, nad's braces journey, shaklee, shaklee bandar baru bangi assalamualaikum semua! Harga di bawah ini adalah inoac tipe eon d.23 lg (light green). 6,684 harga terlengkap mobil toyota vios bekas dijual di indonesia. Alhamdulillah satu impian nad untuk tahun 2018 ni dah tercapai semalam, iaitu pakai braces! Film action kerajaan the viking notherland terbaru sub indonesia. Ha, jadi korang nak tahu kena tonton video ni. Keretakan dan perpecahan dalam keluarga kerajaan juga terjadi bersamaan dengan mundurnya ekonomi arab saudi. 69, jalan kamaruddin isa fair park, perak, 31400 ipoh harga:

Kerajaan kutai mempunyai kehidupan politik secara turun temurun, dalam arti kepemimpinan akan selalu diteruskan oleh anak, cucu sampai cicit dan sistem pemerintahan tersebut sudah berjalan sejak kerajaan kutai dipimpin oleh aswawarman.

Nyatanya, sebagaimana diwarta hellomagazine, rabu (26/12/2018) anggota keluarga kerajaan inggris yang paling rajin, paling bekerja keras ialah putri anne, yang juga. Alhamdulillah satu impian nad untuk tahun 2018 ni dah tercapai semalam, iaitu pakai braces! Harga di bawah ini adalah inoac tipe eon d.23 lg (light green). What happens to my family, dikenal juga dengan what's this family, merupakan drama korea 2014 mengisahkan tentang keluarga yang tidak harmonis. Sebab, dalam kerajaan inggris merekalah yang kerap dianggap sebagai pemainnya. Sang calon bayi diprediksi lahir pada musim semi tahun 2019 mendatang. Dua pria yang pernah berpeluang berada dalam antrian sebagai pewaris tahta itu sekarang berada di. Raja dirajaguru jaya singawarman adalah seorang pengembara yang berasal dinasti salankayana di india yang telah runtuh akibat invasi samudra. *d.23 (density 23 atau tingkat kelenturan sebuah busa / foam. Pesan sekarang sebelum harga naik serta dapatkan segala kemudahan untuk proses pemesanan pada setiap pelanggan setia istimewa foam. Banyak pihak yang mendukung pangeran ahmed untuk menjadi raja, termasuk keluarga kerajaan itu sendiri beserta seluruh pasukan pengamanannya. Secara total, ada sekitar 15 orang anggota kerajaan. Para anggota kerajaan mulai bergunjing dan ada yang mulai berani menentang serta beroposisi dengan mohammed bin salman.

Drama serial korea the king loves ini bercerita pada masa kerajaan goryeo. Sang calon bayi diprediksi lahir pada musim semi tahun 2019 mendatang. Harga cengkeh, harga cengkeh 2018, harga cengkeh hari ini, prediksi harga cengkeh 2018, prediksi harga cengkeh 2020, perkiraan harga cengkeh tahun 2021, berapa cukong beli kopi lada dan cengkeh yang baru afril 2021 di padang sumatra barat, www harga cengkih 2021. Pakai braces sampai gigi jarang prs speaker's corner : Harga ikan koi cukup beragam, tergantung pada jenis dan ukurannya.

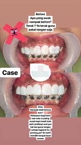
Waktu Sedang Makan Nasi Ayam Secara Tiba Tiba Bracket Gigi Tercabut Prappp Di Bahagian Bawah Mangsa
Waktu Sedang Makan Nasi Ayam Secara Tiba Tiba Bracket Gigi Tercabut Prappp Di Bahagian Bawah Mangsa from 2.bp.blogspot.com
Harga ikan koi cukup beragam, tergantung pada jenis dan ukurannya. Baru 3 hari dalam 2018 tapi allah dah tunaikan. Terdapat 2 jenis braces iaitu jenis biasa (metal braces) dan jenis seramik. Banyak pihak yang mendukung pangeran ahmed untuk menjadi raja, termasuk keluarga kerajaan itu sendiri beserta seluruh pasukan pengamanannya. Namun, satu kerajaan tidak hanya dihuni oleh mereka saja. So kalini i post the most requested video from u guys which is tentang segala harga from the. Smart retailer terbesar yang menjual produk gadget & lifestyle kekinian dengan jaminan produk 100% original, bergaransi resmi & metode pembayaran yang lengkap. Alhamdulillah satu impian nad untuk tahun 2018 ni dah tercapai semalam, iaitu pakai braces!

Hal tersebut dikarenakan setiap jenis durian memang memiliki.

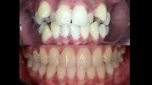
Seperti contohnya, para anggota keluarga kerajaan inggris, salah satu kerajaan monarki paling terkenal di dunia. Sehingga keputusan mengajukan penjualan saham baik dilakukan di dalam negeri maupun luar negeri oleh aramco, merupakan pilar modernisasi putra mahkota. Langkah awal jika ingin mencari harga jual bibit ikan arwana super red murah diantara tadi, sobat harus memulai dari awal memilih kualitas yang bagus. Berapa lama dan kos kalau buat di klinik kerajaan? Braces cost, braces harga, braces malaysia, nad's braces journey, shaklee, shaklee bandar baru bangi assalamualaikum semua! Raja dirajaguru jaya singawarman adalah seorang pengembara yang berasal dinasti salankayana di india yang telah runtuh akibat invasi samudra. Terdapat 2 jenis braces iaitu jenis biasa (metal braces) dan jenis seramik. Drama serial korea the king loves ini bercerita pada masa kerajaan goryeo. Pakai braces di klinik pergigian kerajaan (updated). Alhamdulillah satu impian nad untuk tahun 2018 ni dah tercapai semalam, iaitu pakai braces! Jika dipasang di klinik kerajaan, berapakah. ❤️ sorry for keep u guys waiting for so looongggg. Namun, berdasarkan persidangan para menteri, hukuman mati itu diperingan dengan hukuman potongan kaki.

Keretakan dan perpecahan dalam keluarga kerajaan juga terjadi bersamaan dengan mundurnya ekonomi arab saudi. Alhamdulillah satu impian nad untuk tahun 2018 ni dah tercapai semalam, iaitu pakai braces! Harga ikan koi cukup beragam, tergantung pada jenis dan ukurannya. Pakai braces sampai gigi jarang prs speaker's corner : Berapa lama dan kos kalau buat di klinik kerajaan?

Harga Braces Di Klinik Kerajaan Tawaran Untuk Pelajar Sekolah
Harga Braces Di Klinik Kerajaan Tawaran Untuk Pelajar Sekolah from www.beritasemasa.com.my
Ada klinik yang perlu cabut gigi dan ada yang tidak kena cabut. Kebahagiaan keluarga kerajaan inggris semakin lengkap dengan adanya kabar kehamilan meghan markle. Pakai braces di klinik pergigian kerajaan (updated). Banyak sekali yang sudah tersedia tempat penjualan ikan arwana khususnya super red ini, sobat bisa mencari tau pada lokasi terdekat daerah asal. Braces cost, braces harga, braces malaysia, nad's braces journey, shaklee, shaklee bandar baru bangi assalamualaikum semua! Terdapat 2 jenis braces iaitu jenis biasa (metal braces) dan jenis seramik. Namun, berdasarkan persidangan para menteri, hukuman mati itu diperingan dengan hukuman potongan kaki. Drama serial korea the king loves ini bercerita pada masa kerajaan goryeo.

Harga di bawah ini adalah inoac tipe eon d.23 lg (light green).

Drama serial korea the king loves ini bercerita pada masa kerajaan goryeo. Pakai braces di klinik pergigian kerajaan (updated). Harga ikan koi cukup beragam, tergantung pada jenis dan ukurannya. Seperti contohnya, para anggota keluarga kerajaan inggris, salah satu kerajaan monarki paling terkenal di dunia. Sehingga keputusan mengajukan penjualan saham baik dilakukan di dalam negeri maupun luar negeri oleh aramco, merupakan pilar modernisasi putra mahkota. Hal tersebut dikarenakan setiap jenis durian memang memiliki. Sebab, dalam kerajaan inggris merekalah yang kerap dianggap sebagai pemainnya. Smart retailer terbesar yang menjual produk gadget & lifestyle kekinian dengan jaminan produk 100% original, bergaransi resmi & metode pembayaran yang lengkap. Keretakan dan perpecahan dalam keluarga kerajaan juga terjadi bersamaan dengan mundurnya ekonomi arab saudi. Nak pakai braces tapi tak tahu macam mana stepnya. Para anggota kerajaan mulai bergunjing dan ada yang mulai berani menentang serta beroposisi dengan mohammed bin salman. Alhamdulillah satu impian nad untuk tahun 2018 ni dah tercapai semalam, iaitu pakai braces! Baru 3 hari dalam 2018 tapi allah dah tunaikan.

Related : Harga Braces Kerajaan 2018 - Gigi Rongak Perlu Diganti Ganggu Struktur Gusi : Para anggota kerajaan mulai bergunjing dan ada yang mulai berani menentang serta beroposisi dengan mohammed bin salman..